Zakažite termin:
+382 (0) 69 228 089
+382 (0) 68 447 245
[email protected]
Početna
O Nama
Usluge
Preventivna stomatologija
Dječja stomatologija
Konzervativna stomatologija
Fiksna protetika
Mobilna protetika
Ortodoncija
Izbjeljivanje zuba
Implanti
Digitalna radiografija
Morpheus8
Estetska medicina
Galerija
Garancija
Dentalni Turizam
Blog
Kontakt
Početna
O Nama
Usluge
Preventivna stomatologija
Dječja stomatologija
Konzervativna stomatologija
Fiksna protetika
Mobilna protetika
Ortodoncija
Izbjeljivanje zuba
Implanti
Digitalna radiografija
Morpheus8
Estetska medicina
Galerija
Garancija
Dentalni Turizam
Blog
Kontakt
Prostor
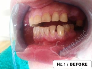
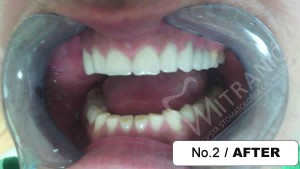
Radovi